Kissing Spine: How to Diagnose and Treat
Wednesday, January 13, 2016 | Mary Phelps
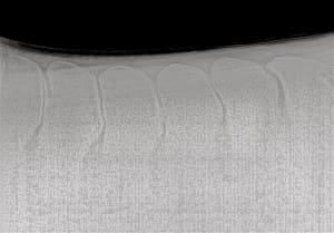
Kissing Spine (Photo: offtrackthoroughbreds.com)
Dr. Liz Maloney, DVM, owner of Equine Therapies in Franklin, Mass., has practiced veterinary medicine with a special interest in horse performance issues for 19 years. Her career started at the racetrack, before expanding to include the care and treatment of sport horses in most other disciplines.
An active competitor in the amateur-owner jumper division in Wellington and Canada, Dr. Maloney took time out of her very busy schedule to answer questions about an equine back condition commonly referred to as kissing spine. In a Q&A with Off-TrackThoroughbreds.com, Dr. Maloney offers insights on the condition and its treatment.
Q: In laymen’s terms, can you please define ‘kissing spine,’ and also provide the medical name as well?
A: Kissing spine, which in technical terms is referred to as the impingement of the dorsal spinous processes, is a diagnosis made through evaluating radiographs of a horse’s back. The condition occurs in the dorsal spinous processes, which is the tips of the spine that you can feel if you press down on the horse’s midline. When they touch or overlap this is considered to be “kissing.”
Although kissing spine is suspected to occur in 39% of the horse population, it is not always a source of pain. Kissing spines are more likely to be clinically significant in Thoroughbreds and dressage horses, in horses under 5-years-old and when more than five vertebra are kissing.
Q: What are the symptoms of kissing spine?
A: The symptoms of kissing spine can be variable and are often misread by riders as behavioral issues. An obvious symptom is when the saddle is brought out the horse may show anxiety on the crossties (shifting his weight and moving his bowels often). Then when the saddle is placed on his back he lowers his back under its light pressure. Or, when he is girthed he bites at the air or the crossties.
Other behavioral clues continue as he is led away from the crossties. He may walk very slowly and sometimes like a crab. And once at the mounting block, he may position himself in such a way that the rider has difficulty mounting.
Signs continue once the rider mounts. This is when he may drop his back and “scoot” forward. Under saddle he may be particularly anxious and appear to be ready to explode.
In general, these horses are uncomfortable with weight on their backs and don’t want to be ridden. So they will often make lots of excuses not to work such as spooking, bucking, bolting, refusing jumps or bolting towards and away from jumps, kicking out and shaking their heads. Under saddle, they may be very stiff in one direction, hollow, hard to put on the bit or reluctant to make transitions. Of course some of these symptoms could be attributed to other problems and not all of these symptoms need to be present to consider back pain as a diagnosis.
This radiograph shows no evidence of kissing spine (Photo: offtrackthoroughbreds.com)
Q: Once a horse is suspected to have kissing spine, how is it diagnosed?
A: There are horses who have back pain without kissing spine, and there are horses who show kissing spine on X-rays but do not have back pain. Therefore it is important when this diagnosis is made on X-rays, that the symptoms and regions of the back that palpate painfully correlate with the same regions on the back that look abnormal on the X-ray. Radiographs are only one piece of the puzzle when determining if a horse has back pain, so simply radiographing a prospective horse’s back to see if he has back problems is not sufficient.
Q: What are some of the factors contributing to this condition?
A: At this point we consider that a horse may be genetically predisposed to this diagnosis. For example, the horse may have a very short back or prominent withers with a low back. And the condition can also be exacerbated by riding exercises. Any factors that may make the horse drop his back and invert can contribute to worsening of the problem; including issues such as poor saddle fit, weakness, poor riding, gastric ulcers or front or back leg lameness.
For example, if a horse’s front feet hurt because he is barefoot and has thin soles he will carry his head high and drop his back. Then, if he is young and weak and his rider is heavy and inexperienced sitting in a saddle that does not fit, well then he will invert even further.
Q: Once the diagnosis is made, what are the treatment options?
A: The treatment is two-fold: First, stop the pain; and second, strengthen the back and abdominal muscles. There are a variety of ways to control the pain: cortisone injections, shockwave therapy, mesotherapy, chiropractic, acupuncture, non-steroidal anti-inflammatory medications, and muscle relaxants. Every case is different and some horses will respond better to one therapy than another.
There is a lot of new information out there about physical therapy and strengthening exercises to build up a horse’s back. Most start without a rider on the back and involve a long and low frame and gradual re-introduction of a rider.
Q: What is the cost of some of these treatment options?
A: Some of the treatments, such as shockwave therapy, can be quite costly (up to $400 a treatment). Most treatments are not this pricey. If you think your horse has kissing spine be sure to hire professionals who have experience identifying and managing this problem. In some cases a bone scan may be needed to localize the most painful areas of the back, in addition to ultrasound, thermography and radiography.
Q: In general, can a horse diagnosed with this condition have a future as a riding mount?
A: Most horses with kissing spine can be rehabilitated and returned to function. There are a lot of show horses out there competing, who have the problem managed by their trainers and veterinarians. Once the problem is identified and treated it is important for the owners to be aware if the horse’s symptoms are recurring.
Correct saddle fit is important. Gone are the days when a rider’s saddle can be expected to fit the six different horses she has in training! And, as a horse builds muscle and changes shape to adjust to his new career, the saddle may need to be adjusted.
Q: Can you speak specifically about ex-racehorses you have treated for this condition?
A:In my practice, I see retired racehorses that have a diagnosis of kissing spine that can happily go on to other careers with proper management.
It’s important for owners to know that most ill behaviors that horses manifest are because they are in pain. In my experience there are few horses that buck, rear or bolt just to be bad! They are a prey species and don’t want to stand out in the herd as troublemakers. After 19 years of practice I am still amazed at how many “hot” horses actually become relaxed and “lazy” once their pain is addressed.
Q: How will a horse let you know if his or her back is hurting?
A: I find pain in the back of the horse to be one of the few reasons that a horse will say “no” when asked to perform. With hock pain or fetlock pain for example they may limp but they will still do what we ask. But when it comes to their backs they may show explosive reactions, almost as if they have received an electric shock, making them buck, bolt or rear.
Q: Back pain seems to be something that is better understood today by vets. Can you speak about that?
A: The good news is that we are getting better at identifying back pain and prescribing a treatment plan as most veterinarians are more aware of it. I think back pain is no more common now, than it was when we started putting weight on a horse’s backs ,but we are now recognizing it much earlier as a cause of poor performance.
Q: Any additional thoughts?
A: I continue to be amazed at how horses work for us even when their bodies hurt, and I strive to become a better veterinarian to identify and ease their pain.
Featured Community
Taylor Bradish is a leading figure in American combined driving, merging deep horsemanship with unwavering dedication. Hailing from Flagstaff, Arizona, and now based in Windsor, South Carolina, Taylor’s journey in the sport blends early passion with elite-level achievement, all rooted in her commitment to training and horse care.
Save the Date
The STRIDE Dressage Club of Ocala, established in 1989, serves as the backbone for [...]






